Medical Dermatology Services at Cahaba Dermatology

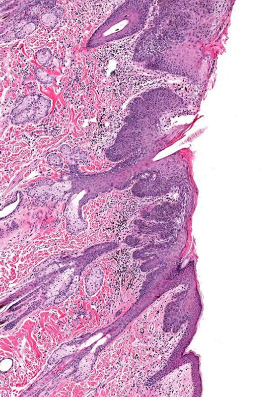
Actinic Keratosis

Actinic Keratosis Diagnosis and Treatment at Cahaba Dermatology

Actinic Keratosis Treatment Guided by Expert Dermatologists

An actinic keratosis, or AK, is a rough, dry, scaly patch or growth that forms on the skin. An AK forms when the skin is chronically damaged by ultraviolet (UV) rays from the sun or indoor tanning. Most people get more than one AK. Anyone who has many AKs should be under a dermatologist’s care. Most people who have many AKs continue to get new AKs for life. AKs are considered precancerous, which means there is a likelihood that they will become cancerous.

We can treat AKs before they become skin cancer. If skin cancer does develop, it can be caught early when treatment often cures skin cancer.

While squamous cell carcinoma is the most likely skin cancer associated with severe sun damage, other skin cancers such as melanoma or basal cell carcinoma may also predominate.

So, protect your skin from the sun. Wear sunscreen with Broad Spectrum UVA/UVB coverage, sun-protective clothing, such as SPF built in shirts, hats and sunglasses and see your dermatologist on regular basis.

Frequently Asked Questions

What are the Symptoms of Actinic Keratoses?

Most people who get AKs do not have any symptoms. They only notice changes to their skin. Symptoms can occur. A few symptoms to watch for are:

– Rough-feeling patch on skin that cannot be seen.
– Rough patch or growth that feels painful when rubbed.
– Itching or burning.
– Lips feel constantly dry, crusty.

An AK can come and go. An AK can appear on the skin, remain for months, and then flake off and disappear. The skin can suddenly feel smooth. Many AKs re-appear in a few days to a few weeks. They often re-appear when the person goes outdoors without sun protection. AKs come from chronic sun damage however recurrent unprotected sun exposure can worsen this condition. If the damage grows deeper, skin cancer can develop.

What Causes Actinic Keratoses?

Ultraviolet (UV) rays cause AKs. Most people get exposed to UV rays from being outside during the day or using tanning beds.

When UV rays hit our skin, the rays damage our skin. When we are young, the body can repair some of the damage. Over time, the damage accumulates, and the body is less able to repair itself. We eventually see UV-damaged skin. If UV rays continue to hit the skin, people get AKs.

How is Actinic Keratoses Diagnosed?

Dermatologists diagnose an actinic keratosis (AK) by closely examining the skin. Our doctors often find AKs by visual inspection, by using a magnifying glass or dermatoscope (a special magnifying light).

If we find a growth that is thick or looks like skin cancer during the exam, your dermatologist will likely perform a skin biopsy. Biopsy is very safe and is relatively painless.

When found early and treated, skin cancer is often cured.

How are Actinic Keratosis Treated?

There are many treatments for AKs. Some treatments your dermatologist can perform in the office. Other treatments you will use at home. The goal of treatment is to destroy the AKs. Some patients receive more than one type of treatment. Treatments for AKs include:

In Office Procedures

Cryotherapy: Destroys visible AKs by freezing them. The treated skin often blisters and peels off within a few days to a few weeks. This is the most common treatment. When the skin heals, you may see a small white mark.
Photodynamic therapy (PDT): A solution is applied to make the skin more sensitive to light. After a few hours, the treated skin is exposed to a visible light, such as blue or laser light. The light activates the solution and destroys AKs. As the skin heals, new healthy skin appears.

Chemical peel: This is a medical chemical peel. You cannot get this peel at a salon or from a kit sold for at-home use. This strong peel destroys the top layers of skin. The treated area will be inflamed and sore, but healthy new skin will replace it.

Curettage: Your dermatologist carefully removes a visible AK with an instrument called a curette. After curettage, your dermatologist may use electrosurgery to remove more damaged tissue. Electrosurgery cauterizes (burns) the skin. New healthier skin will appear.

Prescription Medication Options

5-Fluorouracil (5-FU) Cream

This is chemotherapy that you apply to the skin. It causes temporary redness and crusting. Patients typically apply 5-FU twice daily for 2 to 4 weeks. A person who has lots of damaged skin may need to use 5-FU longer. 5-FU causes sun-damaged areas to become raw and irritated. As the skin heals, healthy skin appears. Another treatment such as cryotherapy may be necessary to treat thick AKs.

Diclofenac Sodium Gel (Solaraze)

This is a non-greasy gel. You apply it to skin with lots of AKs. Patients apply the medicine twice a day for about 2 to 3 months. During this time, you must protect your skin from the sun. You will see the best results about 30 days after you stop applying the gel. Some AKs can remain. Your dermatologist will treat these, often with cryotherapy.

Imiquimod Cream (Aldara or Zyclara)

This cream helps boost your body’s immune system so that your body can get rid of the diseased skin cells. Imiquimod causes the skin to redden and swell. After you stop using the medicine, the skin heals.

Ingenol Mebutate Gel (Picato)

This gel works in two ways. It boosts the body’s immune system. It also is a type of chemotherapy for the skin. One formula is used to treat AKs on the head and scalp and is applied for 3 days in a row. The other formula treats AKs on the legs, arms, and torso. Patients apply this formula for 2 days in a row. Both formulas can cause rapid redness and swelling. As the skin heals, the redness and swelling clear.